Colon, cœur, sein, prostate, poumons : l’imagerie au cœur de la prévention
7 novembre 2025
Actualité MEDIMAGE
En cette fin d’année, les jours ou mois dédiés à des maladies en particulier sont nombreux. On pense notamment à Octobre Rose, Movember ou la journée mondiale du cœur. Ces événements visent à parler des pathologies et à sensibiliser le grand public au dépistage précoce.
En effet, la prévention des maladies graves constitue un enjeu majeur pour réduire la mortalité. Les cancers du côlon, du sein, de la prostate et du poumon représentent une proportion significative des cancers diagnostiqués en Suisse. La détection précoce via les examens d’imagerie reste un levier essentiel pour améliorer le pronostic.
Chez Medimage, nous mettons à disposition une expertise radiologique et un plateau technique complet pour accompagner les médecins traitants et les spécialistes, et orienter leurs patients vers les examens adaptés.
Accident cardiovasculaire

Examens d’imagerie médicale
Scanner score calcique ou score d’Agaston pour l’évaluation du risque cardiovasculaire. Au besoin, coronaires en scanner ou encore IRM cardiaque pour une étude plus approfondie en cas de symptômes.
Programme de dépistage cantonal
Pas de programme à proprement parlé, mais incitation à évaluer régulièrement la pression artérielle, le taux de cholestérol, ainsi que des tests de glycémie.
L’objectif est de sensibiliser les individus aux facteurs de risque modifiables, tels que l’obésité, le tabagisme ou une mauvaise alimentation.
En facilitant l’accès à ces dépistages, les cantons encouragent une démarche proactive en matière de santé, permettant ainsi aux citoyens d’adopter des comportements plus sains et de prévenir les maladies cardiovasculaires.
Situations particulières
Dépistage individualisé des personnes âgées, celles ayant des antécédents familiaux de maladies cardiaques, ou celles vivant avec des maladies chroniques comme le diabète ou le cholestérol. Dans ces cas, il est essentiel de personnaliser les stratégies de prévention en tenant compte des spécificités de chaque individu.
Cancer du sein

Examens d’imagerie médicale
Mammographie avec au besoin en complément échographie, biopsie ou IRM mammaire.
Programme de dépistage cantonal
Mammographie tous les 2 ans chez les femmes de 50 à 74 ans. Medimage est accrédité par la Fondation pour le dépistage du cancer.
Situations particulières
Dépistage individualisé avant 50 ans en cas de facteurs de risque, tels que des antécédents familiaux ou des mutations génétiques, ou en cas de symptômes évocateurs.
Cancer colorectal

Examens d’imagerie médicale
Colonoscopie virtuelle dans les cas où la coloscopie n’est pas possible (côlon trop long, obstrué ou coudé). Cet examen est moins invasif et bien toléré. Il permet la détection des polypes de petite taille et la visualisation des organes voisins.
Programme de dépistage cantonal
Recherche de sang occulte dans les selles tous les deux ans ou coloscopie tous les dix ans à partir de 50 ans.
Situations particulières
Dépistage individualisé avant 50 ans en cas de facteurs de risque, tels que des antécédents familiaux, des pathologies inflammatoires (maladie de Crohn ou colite ulcéreuse), ou en cas de symptômes.
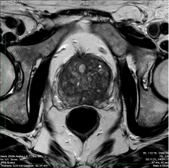
Cancer de la prostate

Examens d’imagerie médicale
IRM de la prostate pour la planification de la biopsie et la détection des cancers cliniquement significatifs.
Programme de dépistage cantonal
Pas de programme cantonal systématisé à proprement parler, mais des incitations à participer à des actions de prévention individuellement ou auprès de diverses institutions.
Situations particulières
La mesure du taux de PSA est recommandée avant 50 ans aux hommes dont l’un des membres de la famille proche a été touché par cette maladie.
Cancer du poumon

Examens d’imagerie médicale
CT-scan thoracique low-dose. Il permet, entre autres, d’obtenir des images 3D, de visualiser le parenchyme pulmonaire et de surveiller l’évolution des nodules éventuellement malins.
Programme de dépistage cantonal
Pas de dépistage cantonal systématisé (projet pilote en cours dans le canton de Vaud), mais les sociétés savantes encouragent les gouvernements à mettre en place ces dépistages low-dose pour les patients à haut risque.
Situations particulières
Les profils à haut risque regroupent les patients de 50 ans et plus, fumeurs ou ayant arrêté de fumer il y a moins de 10 ans, et ayant fumé l’équivalent d’un paquet de cigarettes par jour pendant 15 ans.
Medimage s’engage pour la prévention
Chez Medimage, nous croyons au potentiel de la prévention pour une meilleure prise en charge globale de la santé. Nous mettons tout en place pour accompagner et travailler main dans la main avec les différentes spécialités médicales.
C’est grâce à une prise en charge multidisciplinaire que nous pouvons augmenter les chances de guérison de nos patients.
Toute notre équipe médicale se tient à votre disposition pour répondre à vos questions, discuter d’un cas concret ou prendre des rendez-vous pour vos patients.
